Tratamiento Periodontal
Sabemos que la enfermedad periodontal es una enfermedad infecciosa causada por las propias bacterias que colonizan la boca de manera habitual y que produce sangrado de encías. Se produce enfermedad en aquellas personas que han bajado la guardia en su cuidado personal y han acumulado excesiva cantidad de irritantes locales, como son la placa, el sarro o restos de alimentos, desbordando así su capacidad de defensa. También con mucha frecuencia se produce enfermedad en aquellas personas que genéticamente están predispuestas a ella. Estas personas son más vulnerables porque su sistema defensivo a nivel de encías funciona peor.
A pesar de ser una enfermedad producida por bacterias, no utilizamos los antibióticos de manera sistemática para su tratamiento porque las bacterias que la producen son bacterias habituales del medio oral y cuando pasa el efecto del antibiótico vuelven a colonizar las encías de nuevo. Si se usarán los antibióticos en momentos puntuales según criterio del profesional.
El primer paso en el tratamiento para el cuidado de las encías sangrantes es hacer lo que comúnmente se llama «Limpieza de Boca». Se entiende por este término la eliminación mecánica del sarro superficial con aparato de limpieza que desincrusta el sarro (cálculo) mediante la emisión de ultrasonidos y agua. Este es un procedimiento básico y sencillo y que se suele considerar sólo como el primer paso para luego proceder a limpiar el sarro verdaderamente importante que es el que se acumula bajo la encía.
El tratamiento periodontal consistirá en erradicar la infección existente a base de eliminar mecánicamente los irritantes locales como son el sarro, las bacterias del interior de las bolsas y las toxinas que ellas han producido y han quedado impregnadas en la superficie de la raíz. Es por ello que para tratar este problema no basta con realizar una “Limpieza” de boca, ya que este tratamiento es útil para personas sin problemas especiales de encía y que han acumulado simplemente sarro superficial.
Paciente con pérdida de hueso y raspado dental de la infección con cureta, cuidado de las encías sangrantes
Las personas con problemas especiales o con riesgo de padecerlos necesitan que se les realice uno o varios Raspados o también llamados Curetajes. Esta es una técnica especializada que elimina la infección de la profundidad de la bolsa, llegando a zonas no visibles, muy importante para el correcto cuidado de las encías sangrantes. Necesita un alto nivel de especialización porque a menudo se trabaja a ciegas y en espacios muy pequeños, en donde el tacto de la persona bien entrenada es la única arma para eliminar de manera efectiva los irritantes bacterianos. El raspado dental bien hecho disminuye drásticamente el sangrado de encías de manera inmediata. Al acabar el curetaje siempre hacemos un Alisado Radicular para dejar la superficie del diente menos receptiva a las bacterias.
Muchas veces es preciso hacer varias sesiones de raspado y alisado radicular, en las que tratamos la totalidad de la boca cada vez que el paciente se visita con nosotros. El motivo por el cual raspamos la totalidad de la boca y no en cuadrantes, como hacen en otras clínicas, es que nosotros raspamos sólo hasta donde la encía lo permite y en las visitas sucesivas podemos ir raspando a más profundidad, sacando el cálculo profundo hasta su erradicación. Este proceso tiene grandes ventajas sobre otras maneras de trabajar como la reducción de las posibles molestias, gracias al aprovechamiento de la capacidad de desinflamación de la encía después de cada tratamiento, y que hace innecesario anestesiar en la mayoría de casos.
El paciente será informado de cómo debe realizar su higiene oral personal pues que observamos que la mayoría de nuestros pacientes piensan antes de acudir a nuestra consulta que se cepillan adecuadamente, aunque en realidad no es así.
Es indispensable la colaboración entre profesional y paciente para que ambos trabajen juntos con el fin, no sólo eliminar la infección de manera efectiva, sino de mantener los resultados deseados a lo largo del tiempo.
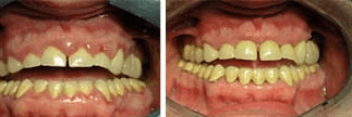
Resolución de la inflamación tras el tratamiento periodontal para el cuidado de las encías sangrantes
Otro caso de desinflamación de encías sangrantes
FASE QUIRURGICA. CIRUGÍA DE DESBRIDAMIENTO
En ocasiones el profesional no puede llegar a eliminar todos los irritantes bacterianos mediante el uso de la técnica del Raspado y alisado, ya sea porque las bolsas son demasiado profundas o existan otras dificultades de acceso.
Cuando no se ha logrado eliminar el sangrado de encías y desinflamar los tejidos por completo el profesional considerará el uso de la Cirugía Periodontal. Esta es una técnica que pretende acceder a toda la superficie de la raíz para limpiarla perfectamente y crear unas condiciones de salud y de forma de la encía que faciliten el mantenimiento de la situación de salud en el futuro.
Existen técnicas quirúrgicas más conservadoras y más agresivas que serán recomendadas por el profesional, ya que cada una de ellas tiene sus indicaciones.
El procedimiento quirúrgico básicamente consiste en anestesiar la zona a operar, cortar con bisturí la encía haciendo una incisión cercana al cuello del diente, separar la encía del diente y del hueso para poder visualizar perfectamente ambos, eliminar toda la infección existente y realizar procedimientos de remodelado o regeneración ósea según requiera la situación. Finalmente se sutura la encía para que quede la misma bien adaptada al hueso y al diente.
SITUACIONES QUE LIMITAN LA EFECTIVIDAD DEL RASPADO Y ALISADO RADICULAR
- Bolsas profundas, especialmente en zonas de hueso irregular.
- Bolsas en dientes con varias raíces.
- Variaciones anatómicas de las raíces (concavidades).
- Dientes mal posicionados y apiñados.
- Encía fibrosa.
- Restauraciones defectuosas.
Procedimiento de cirugía periodental para eliminación de cálculo subgingiva
CIRUGIA PLASTICA GINGIVAL
Es un conjunto de procedimientos que pretenden mejorar el aspecto estético y funcional de la encía. Dentro de este capítulo destacaremos los Injertos Gingivales con o sin cubrimiento de la raíz, la Frenectomía, el Alargamiento de Corona, la Profundización de vestíbulo, etc.

INJERTOS DE ENCIA
Consisten en aportar encía donde no existe, para ello se buscan zonas donantes de la boca que puedan aportar el tejido necesario, sin que ello vaya en detrimento de la zona donante, es decir, es requisito de esta técnica que la zona donante regenere totalmente el tejido que ha dado. Habitualmente la zona donante suele ser el paladar.
Para ello se anestesia la zona a operar, se prepara un lecho en la zona que recibirá el injerto, y se coloca la encía extraída del paladar. Se sutura adecuadamente.
Esta técnica pretende a menudo cubrir recesiones de encía que afean la sonrisa, pero no es esta la única indicación de este procedimiento.
Procedimientos de injerto de encía para cubrir raíces denudadas
Procedimiento de injerto de encía para mejorar la estética de una prótesis fija
Pretende eliminar o desplazar un frenillo existente, que tracciona sobre la encía, que dificulta la movilidad del labio o que se inserta entre dos dientes, principalmente incisivos creando un espacio entre ellos.
ALARGAMIENTO DE CORONA
Es un procedimiento quirúrgico que, como dice su nombre, coloca la encía en una posición más alta a fin de que la cantidad de diente expuesto después de la intervención sea mayor que antes de ella.
Es útil cuando el diente tiene una caries de cuello que está parcialmente tapada por la encía y el dentista precisa visualizar la totalidad de la caries para poderla obturar.
Es también útil en situaciones de fractura de la corona del diente, cuando dicha fractura llega más allá de la encía, en situaciones de graves desgastes del diente y, en general, en todas aquellas situaciones que el dentista precisa más visión o retención para colocar una corona.
Para realizar dicho procedimiento además de abrir la encía, es preciso eliminar hueso superficial alrededor del diente a fin de crear espacio para poder desplazar la encía a una posición más alta.

Procedimiento de alargamiento de corona

Procedimiento de alargamiento de corona en un molar superior

Procedimiento de alargamiento de corona para mejora de la estética
FASE DE MANTENIMIENTO

Paciente mantenido en salud
Esta parte del tratamiento es la que procura que los resultados conseguidos durante el tratamiento activo se mantengan a lo largo de los años. Aunque el profesional haya eliminado completamente la inflamación durante el tratamiento, esto no garantiza que la boca se mantenga libre de infección a lo largo del tiempo a menos de que tanto el paciente como el profesional formen un buen equipo y se ocupen de mantener la boca libre de infecciones activas. Corresponde al paciente mantener limpia la parte superficial y al profesional eliminar todos aquellos depósitos que se acumulen en áreas inaccesibles para el paciente.
Es indispensable acudir a estas visitas con la frecuencia que indique el profesional a fin de que la cantidad de bacterias acumuladas durante el tiempo no rebase el límite de tolerancia de la encía del paciente, y mantener un buen cuidado de encías para evitar que pasen a estar sangrantes con una buena higiene oral.
RECUERDA:
- La cirugía periodontal se usa para acceder a la infección inaccesible desde fuera.
- También es útil para procedimientos de regeneración de hueso.










