Cuando el paciente acude por primera vez a la consulta el dentista debe explorar, además del estado de los dientes y la presencia de caries, la posible presencia de enfermedad periodontal y de sangrado de encías.
La enfermedad periodontal es la primera causa de pérdida dentaria en la población adulta aunque la mayor parte de las personas no lo sepan. Es muy frecuente tener problemas periodontales después de los treinta años. Esto quiere decir que algunos pacientes tendrán problemas de mayor o menor gravedad de inflamación de encías y pérdida del hueso de soporte de los dientes.
El tratamiento periodontal consistirá en erradicar la infección existente a base de eliminar mecánicamente los irritantes locales como son el sarro, las bacterias del interior de las bolsas y las toxinas que ellas han producido y han quedado impregnadas en la superficie de la raíz.
Es por ello que para tratar este problema no basta con realizar una “limpieza” de boca, ya que este tratamiento es útil para personas sin problemas especiales de encía y que han acumulado simplemente sarro superficial. Para mantener unas encías sanas se debe realizar una higienización mas profunda conocida como raspado o curetaje.
El Raspado dental y el Alisado radicular es la base del tratamiento de las encías inflamadas porque no hay salud si no se eliminan los depósitos calcificados (sarro) que se acumulan tanto sobre los dientes como bajo las encías con el paso del tiempo.
La reposición de dientes mediante implantes supone una intervención mínimamente invasiva y vuelve a dar la función perdida de aquellos dientes que se han perdido. Empleamos materiales de la mejor calidad para así garantizar una óptima osteointegración.
Restitución mediante los mejores materiales de la estética y función perdidas gracias a las nuevas técnicas de diseño de prótesis mediante escáner 3D y CAD CAM que ofrecen un acabado superior a los métodos convencionales sin necesidad de utilizar pastas incómodas.
Solución de dientes malposicionados o apiñados mediante ortodoncia invisible para así devolver la función, estética y un correcto encaje de los dientes. Ya sea por motivos estéticos, como de salud, la opción de realizar un tratamiento ortodóntico siempre es válida y en raros casos está contraindicada.
Tratamientos reales
Corona, antes y después


Blanqueamiento, antes y después


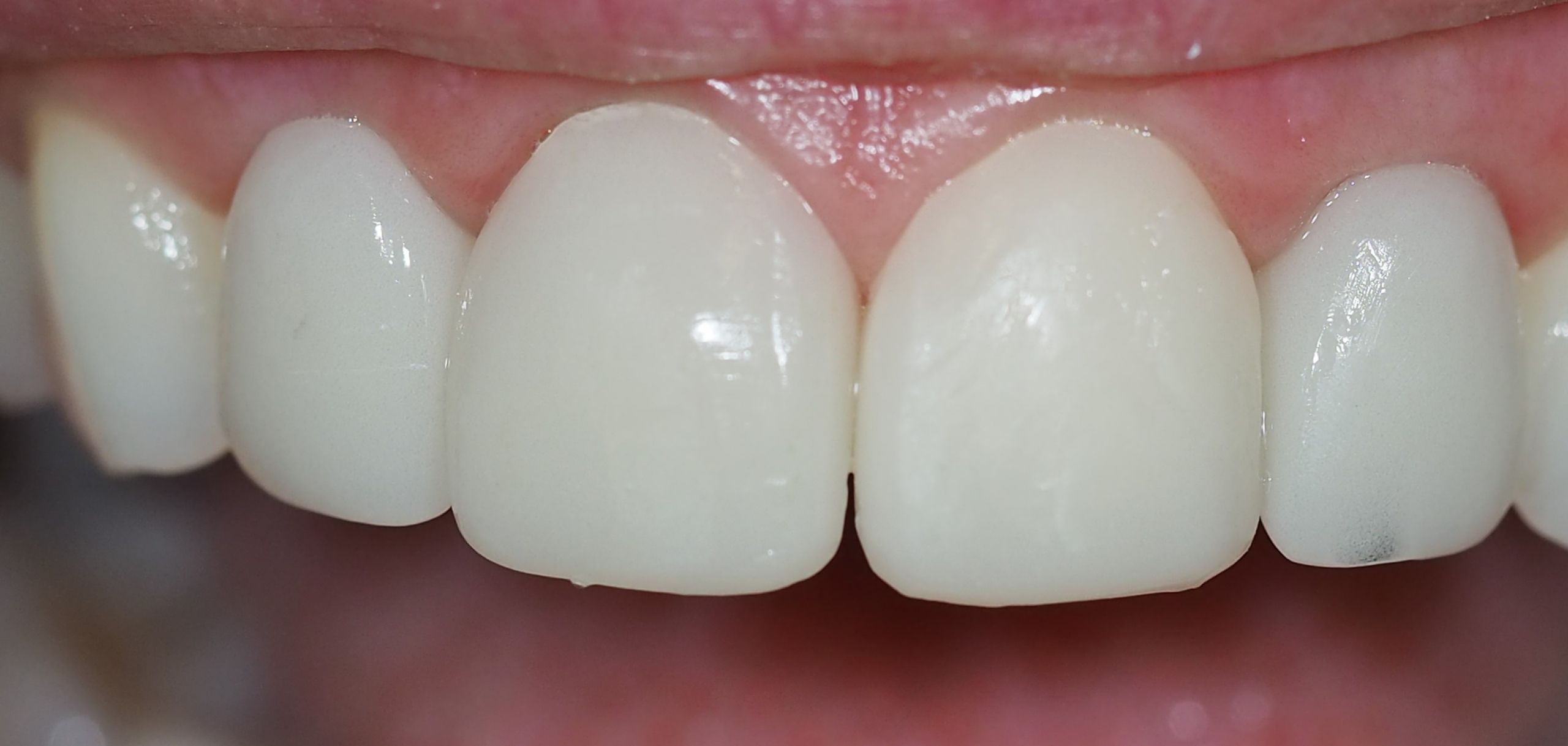
Corona Zirconia, antes y después


Rehabilitación Completa

Férula de descarga

Carillas



Preguntas Frecuentes
Las encías sanas no deben de sangrar. Cuando observamos sangrado al comer, por ejemplo una manzana , o al cepillarnos los dientes, quiere decir que las encías están inflamadas y que hay que acudir a tu dentista lo antes posible. Solo los mejores profesionales médicos podrán solucionar o aplicar los tratamientos dentales adecuados para cada caso y mejorar la salud dental del paciente.
La inflamación de encías está siempre relacionada con exceso de bacterias en la boca. Ya sea porque la limpieza personal no es suficientemente buena, o porque no acudimos con la frecuencia adecuada al dentista para que haga una limpieza profesional.
La movilidad dentaria suele ser un signo avanzado de pérdida de hueso. Nos puede parecer que el hueso es una parte dura y resistente de nuestro organismo, pero es, por el contrario, muy vulnerable a las bacterias orales, que cuando no están controladas, lo destruyen con facilidad. Esto se traduce en movilidad dentaria, que puede ser complicada de controlar.
Si Ud. tiene algún diente con movilidad, pida hora urgente con su dentista para conseguir un diente más fuerte y de mejor calidad.
Es la especialidad dental que se ocupa del tratamiento de las encías sangrantes. Engloba un conjunto de procedimientos, para eliminar la infección de encía que produce el sangrado y la destrucción de hueso.
Todos los dentistas pueden hacer tratamientos de periodoncia, pero si el problema es más importante y sobre todo si hay algo de movilidad dental, es conveniente acudir a un Especialista en Periodoncia.
Es un procedimiento que usa el dentista para acceder a la infección de encías que no sea accesible desde fuera. Consiste en abrir cuidadosamente la encía por la parte exterior y la interior, para llegar al hueso y poder rascar y eliminar la infección profunda. Siempre se tendrá que colocar puntos para cerrar adecuadamente la encía. La cirugía es un procedimiento muy eficaz para eliminar bolsas de infección y facilitar el control de la salud de la encía a lo largo del tiempo y asegurarse de tener unos dientes más resistentes.
Sí, en estas situaciones hacemos injertos de encía, usando la encía del propio paciente, que trasladamos de un sitio a otro, para conseguir tapar la raíz y obtener un buen efecto estético y mejorar la apariencia de la encía.




